实验室及器械检查:
三大常规
血常规:WBC8.01×109/L,RBC4.85×1012/L,HGB152g/L,PLT106×109/L
小便常规:尿蛋白+,葡萄糖阴性
大便常规:正常
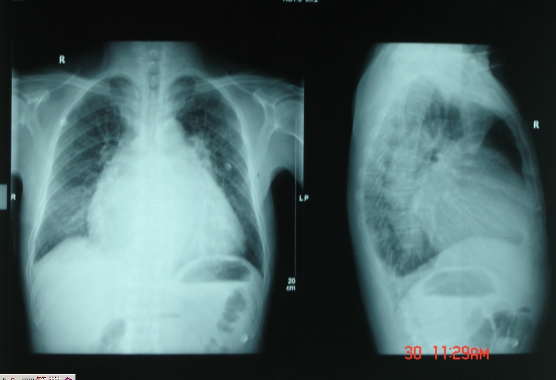
●胸片:

● 两肺纹理增多,增粗,呈“肺淤血”样改变,心影呈普大型,心胸比率约0.70,侧位片心前、后间隙变窄、消失,后肋膈角变钝。
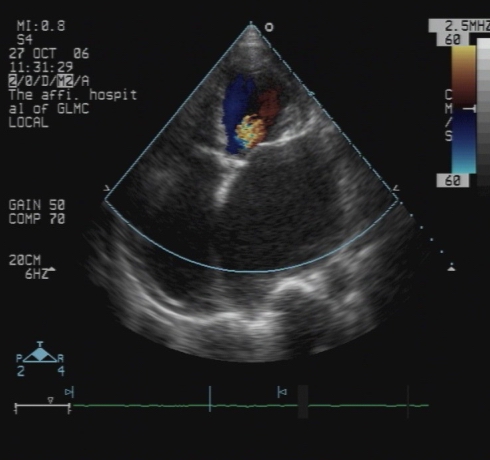
心脏彩超:
● RVOT:33mm,AOV:30mm,LAS:72mm,RAS:65mm,LAD:61mm,LVPWD:10mm,IVS:10mm,RVD:22mm,EF:0.67,FS:30%。全心增大,主动脉瓣反射增强,余瓣膜柔软不厚,闭合良好,室间隔与左室后壁不厚,呈逆向运动。房室间隔连续性完整。
● 彩色多普勒示:二尖瓣区及主动脉瓣区及肺动脉瓣区可见轻度反流,二尖瓣最大反流速度3.88m/s,主动脉瓣区最大反流速度2.56m/s,PG26.2mmHg,据三尖瓣反流束估测肺动脉收缩压为47mmHg。房室水平未见分流。
提示:全心大
二瓣及主动脉瓣关闭不全并轻度反流
轻-中度肺动脉高压
心电图:

问题:
1、 试述心房颤动的心电图表现及听诊特点。
2、 何谓心肌病及其分类?
(责任编辑:管理员)
|